Phantom® MIS


A New Option for Bunion Surgery
Discover if our advanced minimally invasive bunion surgery may be right for you by completing the quiz.
A BETTER Option For Your BUNION
The Phantom® MIS System was created to support a minimal approach to joint preparation for a Lapidus Arthrodesis procedure. This first-of-its-kind system allows the ability to access the 1st Tarsometatarsal (TMT) joint with minimal disruption to the soft tissue and overlying skin.

Smaller Less Visible Scars
Our Minimally Invasive System reduces the length of the incision, resulting in smaller scars when compared with traditional approaches.

Minimally Invasive
Limited dissection of surrounding tissues may allow for a more rapid recovery post operatively⁶.

No Hardware Prominence
The Phantom® Nail is completely inserted into the bone, which minimizes concerns of irritation with shoe wear post-surgery⁷.
Watch Tracy’s Bunion Story
We invite you to meet Tracy, an extraordinary individual whose life took a remarkable
turn for the better thanks to a bunion surgery provided by Paragon 28®
Tracy’s story is a testament to the incredible transformations and inner strength that can emerge from such experiences. Today, she confidently embraces her favorite footwear, all thanks to one of our exceptional bunion solutions.
Tracy’s journey serves as a vivid reminder that remarkable solutions exist. Our very own Phantom® MIS procedure may offer a path to a life free from pain and discomfort, allowing you to savor the activities you hold dear. To delve deeper into Tracy’s inspiring story and learn about her journey to a bunion-free life, we encourage you to watch our video. Witness her incredible transformation and discover the possibilities that await you.
Only a surgeon can tell if the Phantom® Intramedullary Nail and/or Phantom® MIS Procedure is right for you. There are potential risks, and recovery takes time. Potential risks include but are not limited to infection, discomfort, or swelling due to balancing and introduction of the implant, loosening of the implant, and loss of correction. Refer to full list of warnings precautions, and contraindications within the Phantom® Small Bone Intramedullary Nail Instructions for Use at https://paragon28.com/ifus/
Engage in regular actives faster
Day of Surgery
Non weight bearing using crutches or knee walker.
Immediate weightbearing can begin in a flat footbed CAM boot in reliable patients with normal bone quality and limited initial ambulation goals. The construct is sufficiently mechanically stable for immediate weightbearing; non weight bearing is initially recommended to avoid excessive swelling and wound complications.
2 to 4 Weeks
Sutures removed around 10 days. Initiate weight-bearing in a CAM boot with a flat footbed.
6 to 8 Weeks
Weightbearing postoperative radiographs obtained. Wean to accommodative normal postoperative footwear.
A wide sneaker is commonly used. Higher-end shoes from New Balance and other manufacturers can be obtained in letter widths (e.g., EE).
In cold weather, wide fleece shoe wear (e.g., UGGs) may be preferred.
8 Weeks and Beyond
Weight-bearing radiographs obtained. Unrestricted shoe wear as swelling allows. Normal activity may start as your doctor allows.
Day of Surgery
Non weight bearing using crutches or knee walker.
Immediate weightbearing can begin in a flat footbed CAM boot in reliable patients with normal bone quality and limited initial ambulation goals. The construct is sufficiently mechanically stable for immediate weightbearing; non weight bearing is initially recommended to avoid excessive swelling and wound complications.
2 to 4 Weeks
Sutures removed around 10 days. Initiate weight-bearing in a CAM boot with a flat footbed.
6 to 8 Weeks
Weightbearing postoperative radiographs obtained. Wean to accommodative normal postoperative footwear.
A wide sneaker is commonly used. Higher-end shoes from New Balance and other manufacturers can be obtained in letter widths (e.g., EE).
In cold weather, wide fleece shoe wear (e.g., UGGs) may be preferred.
8 Weeks and Beyond
Weight-bearing radiographs obtained. Unrestricted shoe wear as swelling allows. Normal activity may start as your doctor allows.
*Please consult with your doctor for your specific treatment plan.
YOU HAVE A CHOICE
When it comes to how your foot looks after surgery
Traditional surgical approaches may be a characterized by large incisions and scaring.
Traditional Open Dorsal Approach
The surgeon makes a 3-6 inch incision along the top of your foot.
Traditional Open Medial Approach
The surgeon makes 3-6 inch incision along the midline of your foot.
Traditional Open Distal Approach
A 3-4 inch incision is made along the top of your foot.
PHANTOM® MIS NAIL
Smaller incision
= Less Scarring
The Phantom® MIS procedure is designed to correct your bunion with three separate incisions, which are each 0.4 inches or less. This procedure requires shorter incisions than traditional approaches leaving you with far less scarring.

Less Pain and Swelling**
Less tissue damage from minimally invasive surgery leads to less patient pain and swelling when compared to traditional techniques.
Smaller Scars**
Surgery is performed with smaller incisions, limiting the size and visibility of scars.
Faster Recovery**
Less tissue damage and smaller scars lead to faster recovery and return to normal footwear.
See the Phantom® MIS Procedure in Action
See if the MIS procedure is right for you
Take the survey below to see if you qualify for a new minimally invasive bunion surgery.
What Bunion Doctors Are Saying About Phantom® MIS
‘I exclusively use the Phantom Nail in all of my Lapidus bunion surgeries.”
Jason Bruse, DPM
Only a surgeon can tell if the Phantom® Intramedullary Nail and/or Phantom® MIS Procedure is right for you. There are potential risks, and recovery takes time. Potential risks include but are not limited to infection, discomfort, or swelling due to balancing and introduction of the implant, loosening of the implant, and loss of correction. Refer to full list of warnings precautions, and contraindications within the Phantom® Small Bone Intramedullary Nail Instructions for Use at https://paragon28.com/ifus/
Dr. Bruse may report consulting and royalty fees from Paragon 28 in connection with the provision of product development services to Paragon 28.
PHANTOM® MIS NAIL

The Phantom® MIS procedure is designed to correct your bunion with three separate incisions, which are each 0.4 inches or less. This procedure requires shorter incisions than traditional approaches leaving you with far less scarring.
The Phantom® MIS (Minimally Invasive Surgery) procedure is a first of its kind approach which offers revolutionary fixation within the bone, designed to minimize discomfort associated with traditional bunion procedures. This technology and approach stabilizes the correction through three very short incisions, leaving you with a cosmetically appealing result when compared to traditional approaches.

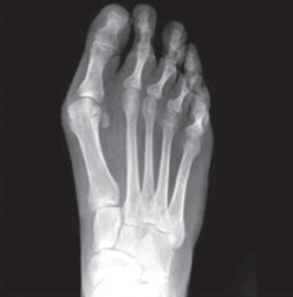
BEFORE

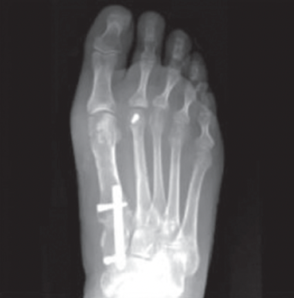
AFTER
Patient Brochures

You’re Not Alone, Many People Have Bunions
An estimated millions of Americans live with deformities of big toe and fortunately there are options for correction. 12. You may be a candidate for an innovative minimally invasive treatment option which is designed to correct your bunion.
See if the MIS procedure is right for you
Take the survey below to see if you qualify for a new minimally invasive bunion surgery.

Paragon 28® operates under the following principles:
Inclusion and respect of individual surgeon’s preferences, creative innovation, high-quality, cost-effective implants, and a strong belief that through research and innovation, we can create new and improved solutions to the challenges faced by foot and ankle specialists.
Frequently Asked Questions
Are my shoes causing my bunion?
Poor fitting shoes may contribute to the deformity as it can push the toe into an unnatural position. Over time, the soft tissue in your foot may become accustomed to the new positioning and cause a worsening deformity.
When do I need to have surgery – how long should I delay?
Bunion deformities are progressive conditions which may not improve without intervention. Addressing these deformities early before arthritic changes begin to take place in the toe may allow for interventions which do not require fusions or other more invasive procedures.
How long until I can get back to normal activities?
This is dependent on your surgeon’s recommendation and procedure utilized. Please see product pages for their timelines.
Is the Phantom® MIS procedure covered by insurance?
Coverage is dependent upon the provider. The Phantom® MIS procedure is a bunion correction procedure, which is a common occurrence for insurers.
If I had a previous operation that failed, can my toe still be corrected?
Surgeons are using the Phantom® MIS procedure to address previously failed operations as well as primary surgical intervention.
What pre-existing health conditions would keep me from having the Phantom® MIS procedure?
The Paragon 28® Phantom® Intramedullary Nail System implants are not designed or sold for any use except as indicated. Use of the Phantom® Intramedullary Nail System is contraindicated in the following situations:
- Active, suspected or latent infection in the affected area
- Patients who are physiologically or psychologically inadequate
- Patients previously sensitized to titanium
- Longitudinal splits or longitudinal fractures
- Insufficient quantity or quality of bone to permit stabilization, conditions that retard healing (not including pathological fractures) and conditions causing poor blood supply
- Open epiphyseal plates
- In patients where there is a possibility for conservative treatment
- Indications not included in the INDICATIONS FOR USE
Can the Phantom® MIS procedure be performed as an outpatient procedure and how long should I expect surgery to last?
The procedure is usually performed with a local anesthetic block and sedation. The procedure may take anywhere from 45 minutes to two hours and may be completed in an outpatient setting so you can return home the same day.
Do all doctors perform the Phantom® MIS procedure?
Surgeons are being trained every week on this novel procedure. To find a surgeon near you, please utilize our surgeon finder tool.
Are there physical limitations I should be aware of following the surgery?
Depending on your surgeon’s post-operative care plan, you may be placed in a cast for the first few days to properly heal, which will limit any weight-bearing. Your surgeon will then move you into a partial weight-bearing boot for the duration of your healing process, which could lead up to 4-6 weeks post-surgery before you can start to place weight on your foot in comfortable shoes.
How frequently will I need to return to my doctor following the surgery?
Sutures are typically removed two weeks following the surgery and if the surgeon pins the toe, the pin can be removed at two to four weeks following the surgery.
Will I have any scarring following the procedure?
With the Phantom® MIS procedure, you will notice significantly less scarring as compared to traditional approaches. These scars can be easily treated to lessen any long-term cosmetic outcomes with the Phantom® MIS procedure.
When can I return to all normal activities following surgery?
All restrictions related to shoes are at the discretion of your surgeon. Patients may return to normal footwear in as few as 4-6 weeks.
Important Risk Info
Only a surgeon can tell if the Phantom® Intramedullary Nail, Phantom® MIS Procedure and/or Precision® MIS Bunion System is right for you. There are potential risks, and recovery takes time. Potential risks include but are not limited to infection, discomfort, or swelling due to balancing and introduction of the implant, loosening of the implant, and loss of correction. Refer to full list of warnings precautions, and contraindications within the Phantom® Small Bone Intramedullary Nail and Precision® MIS Bunion System Instructions for Use at https://paragon28.com/ifus/
Surgeon Finder Disclaimer
The surgeon information listed in the Surgeon Finder is provided for informational purposes only and does not represent an endorsement or warranty of any particular surgeon. The database does not include an exhaustive list of all surgeons within a particular geographic area or all surgeons who use/have used a Paragon 28® product. Only those who have expressly subscribed to be listed on the site and are confirmed to be either Paragon 28® trained and/or experienced are included. These are the only criteria for inclusion. Paragon 28® does not pay a fee or any other type of remuneration for participation. Choice of surgeon should be solely based upon a patient’s own investigation of a particular surgeon’s training, education, experience and reputation.
For the contraindications, potential complications and adverse reactions, warnings and precautions associated with this device, please refer to the device specific instructions for use here.
Sources
Lee M, Walsh J, Smith MM, Ling J, Wines A, Lam P. Hallux valgus correction comparing percutaneous chevron/Akin (PECA) and open scarf/Akin osteotomies. Foot Ankle Int. 2017;38(8):838-846. doi:10.1177/1071100717704941
Maffulli N, Longo UG, Oliva F, Denaro V, Coppola C. Bosch osteotomy and scarf osteotomy for hallux valgus correction. Orthop Clin North Am. 2009;40(4):515-524. doi:10.1016/j.ocl.2009.06.003
Blitz NM. Current concepts in minimally invasive bunion surgery. Podiatry Today. 2019;32(2):28-34.
Lam P, Lee M, Xing J, Di Nallo M. Percutaneous surgery for mild to moderate hallux valgus. Foot Ankle Clin. 2016;21(3):459-477. doi:10.1016/j.fcl.2016.04.001 (76% Smaller Incisions)
Nix S, Smith M, Vicenzino B. Prevalence of hallux valgus in the general population: a systematic review and meta-analysis. J Foot Ankle Res. 2010;3:21. Published 2010 Sep 27. doi:10.1186/1757-1146-3-21
DiDomenico LA, Wargo-Dorsey M. Lapidus Bunionectomy: First Metatarsal Cuneiform Arthrodesis. McGlamrys Comprehensive Textbook of Foot and Ankle Surgery. 4th; p. 322-330.
Yamamoto Y, Yamaguchi S, Muramatsu Y, et al. Quality of Life in Patients With Untreated and Symptomatic Hallux Valgus. Foot Ankle Int. 2016;37(11):1171-1177. doi:10.1177/1071100716655433
Gribbin CK, Ellis SJ, Nguyen J, Williamson E, Cody EA. Relationship of Radiographic and Clinical Parameters With Hallux Valgus and Second Ray Pathology. Foot Ankle Int. 2017;38(1):14-19. doi:10.1177/1071100716666562
Cronin, S., Conti, M., Williams, N., & Ellis, S. J. (2020). Relationship Between Demographic and Radiographic Characteristics and Second Ray Pathology in Hallux Valgus Patients. Foot & Ankle Orthopaedics. https://journals.sagepub.com/doi/full/10.1177/2473011420909088
Lai, M. C., Rikhraj, I. S., Woo, Y. L., Yeo, W., Ng, Y. C. S., & Koo, K. (2018). Clinical and Radiological Outcomes Comparing Percutaneous Chevron-Akin Osteotomies vs Open Scarf-Akin Osteotomies for Hallux Valgus. Foot & Ankle International, 39(3), 311–317. https://journals.sagepub.com/doi/10.1177/1071100717745282
Peterson KS, McAlister JE, Hyer CF, Thompson J. Symptomatic Hardware Removal After First Tarsometatarsal Arthrodesis. J Foot Ankle Surg. 2016;55(1):55-59.doi:10.1053/j.jfas.2015.06.001
Prieto-Diaz, C., Anderle, M. R., Brinker, L. Z., Allard, R., & Leasure, J. (2019). Biomechanical Comparison of First Tarsometatarsal Arthrodesis Constructs Over Prolonged Cyclic Testing. Foot & Ankle Orthopaedics. https://journals.sagepub.com/doi/10.1177/2473011419892240